Every year on Fat Tuesday, we rejoice in our rotund residents.
And every year, someone scolds me for “fat-shaming the cats.”
But that is preposterous.
We are dealing with a species that is completely safe from shame.
“Fat-shaming the cats”! The very idea is invalid, if you ask Emperatriz.

If Emperatriz were ashamed of anything, it would be “having to share a planet with salad,” which is also invalid.
But, in the part of the brain where humans store “shame,” Emperatriz stores self-respect. Also, backup snacks.
You can fit a lot of backup snacks in that big, gloomy basement where most of us keep our shame.
Those of us on two legs tend to hoard old embarrassments, like “That Thing I Should Not Have Said In 1996,” or “Gold Stars I Did Not Receive,” or “The General Appearance Of My Belly Button.”
Cats think that’s a crying shame, minus the shame.
Cats know that belly buttons were not made for low-waisted jeans. The purpose of a belly button is providing a point of reference for where to center the nearest lap cat.

And the cats hope that, at least one day a year, we will exult in abundance of belly and soul.
Take it from Miss Kitty, the cantaloupian queen of our reception desk. Belly rolls are just royal robes you never have to take off. Waddling is for winners. Owning every atom of yourself is not overkill. It is life-giving.
It is also an excellent way to acquire more atoms, administered in the form of little meat nuggets shaped like stars. Chicken Nugget approves of all nuggets, known and unknown. Chicken Nugget preapproves those nuggets yet to be invented by God or Colonel Sanders.
Chicken Nugget especially approves of Chicken Nugget, whose plumpness is proof that a cat once forgotten is now fondly fed.

It would be a shame if we mentioned Chicken Nugget without pausing to do homage to Taylor Ham.
Chicken and Taylor both came to us as jangly jalopies of bones, found outside a local prison.
But that was many Mardi Grasses ago. Now, Chicken walks on mighty drumsticks, and Taylor hams it up in his forever home.

So we must laud the legend of lard.
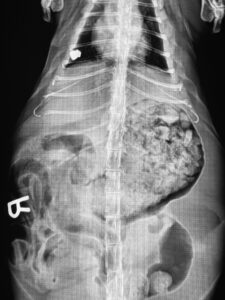
Taylor is the only cat in Tabby’s Place history (nearly 5,000 cats, which is 30 metric tons of cat) whose gut has been so glorious, it alarmed the vet team.
An emergency X-ray confirmed the diagnosis: “excess fat.”

If Tabby’s Place is here for another ten thousand years (as we fully intend), Taylor Ham’s X-ray will be forever celebrated.
But, there are as many ways to celebrate Mardi Gras as there are belly buttons, and they are all excellent.
You can press your cherubic cheeks into every face that smiles, like the 55-gallon souffle we call Sootie.
You can feast on a charcuterie board of deep thoughts and giblets, like the zaftig existentialist Hircine.
You can hone your stand-up routine while laying down, like Clifford, who nearly made it onto the Saturday Night Live cast with his impersonation of “puddle of Cool Whip.”

You can collapse from exhaustion after overhearing the word “exercise,” like Gator.
You can donate your bountiful belly to the cause of community, like snugglage expert Juel.
You can even be saintly about the whole thing.

Mardi Gras is traditionally seen as the “last hurrah” before Lent. It is a frenzy of cake and carnival, to get the giggles and buttercream out of our systems before a time of reflection, redemption, and rice cakes.
But, the last time St. Nick counted, there are plenty of hurrahs still available. Hurrahs do not have expiration dates.

And, “hurrah” is the holiest response to St. Nick’s hunkitude, his happiness, and his head, which is the diameter of thirty-eight Earths.
We don’t call him “St. Nick” for nothing. Our FIV+ physicist of fat needs to be this big to accommodate all of his goodness.
St. Nick was saved by a relay of angels in all ages and sizes. St. Nick was so saturated in goodness, he is now fat with the stuff.

And when goodness and mercy follow you all the days of your life, you’ve gotta store it somewhere. So, St. Nick puts it in his cheeks, then eats as much as he can, as fast as he can, to accommodate more goodness.
Yet, in that regard, not even our sausage of a saint can compete with Sam.

Sam is one of our newest residents, but he is already our leading expert in Mardi Gras.
As you shall see in the video below, Sam does not just enjoy food. Sam takes the time to thank his food for being food. (Volume up to hear his chirpy hymn.)
Sam is not ashamed to resemble a tureen of tapioca on legs.
Sam is astonished to have a body, and a Tabby’s Place where he is treasured from tip to tail.
When you’re that safe, you can’t help but be safe from shame.

Maybe there is room for all our rumpled ripples after all.
Happy Fat Tuesday, kittens of all sizes.

